Skip to the content.

IT'S A BOY!

January 26, 2009

We had our first official ultrasound today and found out that we're having a boy.  I had a very quick surprise ultrasound last week at the dr's office and thought that it was a boy but it was definitely confirmed today.  He's about 1 lb and they have him due about the same time as our original due date so we'll just say June 1st still.  He was very active and healthy.  We've included a video and pictures.  As you can see his little legs are up by his head so he's quite flexible.  Just in case you can't tell what's what in the video his head is on the right and his heart is in the middle of the screen.  His legs are on the left and they extend up to his head.  Sometimes the screen will switch to a foot or hand shot and when they show his profile you can see his tongue moving and his little mouth opening and closing (I think he's saying Mama). 

Gabby is handling the news well although she has said Sissy a lot today.  We'll just say that she's excited about being a big sister instead of saying that she wants a Sissy.  Sometimes she seems happy about the baby and will pet my belly and sometimes she just says No, No when we say something about the baby.  She'll be a good big Sissy though. 

We're very excited and can't wait to see more of this little guy. 

I20090126083750796

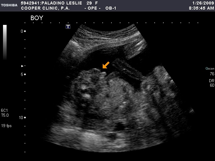
The money shot.  The arrow is pointing at the confirmation that it's a boy, just in case you can't tell.I20090126083752578

You can see his little foot up on his head.
I20090126083753218

His arm is extending out and he's pointing to the right here with his little finger. 
I20090126083751687


Archived Comments

Papa Dino on 2009-01-25 wrote:

He’s already trying to talk so he can get advice from his big sister. He looks like he’s got Michael’s hair…..none…HA. Stay healthy, Leslie. Love you. You too Michael and Gabby.

Grandeb on 2009-01-25 wrote:

Incredible what detail and technology! I think images have improved even since Gabby!! Did you see how strong that little heart is beating - way to go. I am certain the pancreas is just as sturdy. What a thrill for us all. Never thought I could love him this much already. Look what I’ve learned from Gabby! I am soo proud of you all!!! Prayers are being answered one by one. Love to all

chris and krista on 2009-01-25 wrote:

OMG!! What a doll. That profile is too cute. I can’t wait to get my hands on him. I can tell he is going to be precious just like Gabby girl. Get ready Gray is going to teach that boy the ropes. So happy for ya’ll!! Gabby is going to be a great big sister. P.S. This swee boy has the cutest bedding ever.

mee maw on 2009-01-26 wrote:

All I can say is that God taketh away, but He also gives us back…Another male heir for "ole Paladino" I just Pa Pa can see our newest little grandson….Gabby will pave the way for him…God Blessed us once again, as He always does…Praise the Lord…..Mee MaW

ali on 2009-02-17 wrote:

Hey guys!!! I am so happy for you all—-finally someone besides Andy having boys!!!! I know he will be beautiful just like his big sister….I am making something for him and when you guys have a name, let me know. Love you all….Ali